Menu Principal:
odontologia cosmetica
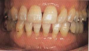
este tipo de coronas es libre de metal se usan para dar una mejor apariencia que los de metal porcelana, actualmente , se colocan coronas en zirconia, por ejemplo en zonas donde no tenemos mucho diente para rebajar como son los dientes inferiores anteriores.

