ortopantomografia - Clinica Uribe

Vaya al Contenido

Menu Principal:

Otros > rayos X digital

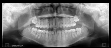
CON UNA SOLA TOMA NOS ENSEÑATODA SU BOCA Y PODEMOS OBSERVAR PROBLEMAS O LESIONES OCULTAS.

 
Regreso al contenido | Regreso al menu principal